Hace tiempo vino a mi consulta una paciente joven que estaba preparando los exámenes finales de su carrera. Me comentó que tenía dolores de cabeza y que, al levantarse, notaba que había estado apretando los dientes mientras dormía.
También sufría dolores cervicales y de espalda por lo que le prescribieron miorrelajantes. Esto supuso un problema añadido porque, como es sabido, los relajantes musculares provocan somnolencia. Y todo ello dificultaba su estudio.
Una amiga le dijo que existen protectores frente al apretamiento nocturno. Esto le había llevado a comprar una férula “que se ajustaba con calor”. Los síntomas no mejoraron por lo que acudió a consulta.
Como soy médico estomatólogo le expliqué que el tratamiento ha de ser global. Es correcta la ayuda del fisioterapeuta y de unos hábitos de vida que combatan el estrés emocional, pero debe realizarse un estudio médico completo.
Tras la historia clínica dental y general se explora el aparato estomatognático o masticatorio (articulación de la mandíbula, músculos, dientes, lengua, movimientos mandibulares, etc.) y del cuello y la espalda, por si necesitaba corrección postural. En la boca observé algunas caries que empastar y algunos pequeños desgastes dentarios. Pero lo que llama la atención es que los músculos maseteros, temporales y pterigoideos están tensos.
Estamos ante un caso de bruxismo.
¿Qué es el bruxismo?
Suele describirse como el hábito de apretar los dientes de modo persistente, consciente o no, que lleva al desgaste dental y a la lesión de los tejidos que intervienen en la masticación. Los trastornos musculares asociados de la mandíbula se extienden a la articulación y a los músculos cervicales y de la espalda.
No se conoce la causa última de este hábito. No es propiamente una enfermedad. Se considera que es una parafunción, esto es, un trastorno en el correcto funcionamiento del aparato masticatorio. La opinión más extendida es que influyen factores mecánicos y emocionales.
¿Cómo saber si padecemos bruxismo?
Todos apretamos la mandíbula en muchas ocasiones a lo largo del día. A los aficionados al fútbol les animo a observar la cara del futbolista antes del lanzar un penalti. Pero si esta acción se repite con intensidad y continuidad usted es bruxista.
Suele distinguirse el apretamiento diurno del nocturno. El que se produce por la noche es más dañino por ser inconsciente. Muchas veces hace ruido por lo que también se llama rechinamiento.

¿Qué consecuencias tiene el apretamiento?
La tensión muscular mantenida se manifiesta en forma fatiga, como dolor de cabeza, cuello y hombros. A veces dolor y zumbido de oídos o vértigo. Si está afectada la articulación, se aprecian ruidos articulares y chasquidos en la apertura y cierre mandibular. En algunas personas se encuentra hipertrofia del músculo masetero.
En los dientes pueden aparecer desgastes, fisuras o fracturas, pérdida de la forma y lesiones del cuello del diente. En ocasiones, movilidad dental. Si esa persona padece enfermedad periodontal (piorrea) puede perder algún diente.
Cuando los desgastes son grandes aumenta la sensibilidad de los dientes al frío o calor, por la disminución del grosor del esmalte. En casos extremos se alcanza la pulpa, con dolor importante y aparición de abscesos de pus que pueden requerir endodoncia e incluso llegan a producirse fracturas dentales.
Con el tiempo disminuye la dimensión vertical, que es la altura o longitud del segmento inferior de la cara, entre el maxilar superior y el mentón. Esto da aspecto de cara envejecida. La articulación témporo-mandibular se fuerza cerrando más allá de sus límites fisiológicos.
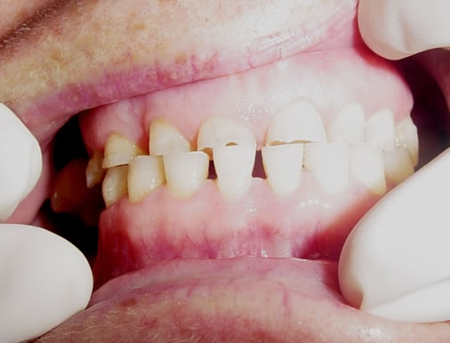
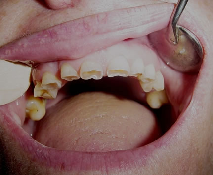
Fotos: Caso de bruxismo extremo con desgaste importante de los dientes

¿Se conoce la causa del rechinamiento?
Hay varias hipótesis. Se habla de factores locales, posturales y generales.
– Entre los factores locales se engloban trastornos de la oclusión (correcto cierre y encaje de los dientes), caries, empastes en mal estado, coronas altas, pérdida de la posición correcta de los dientes (dientes tumbados o mal posicionados por extracciones).
– Los traumatismos o las enfermedades degenerativas pueden dañar la articulación témporo-mandibular y ser inductores del bruxismo.
– Los malos hábitos posturales en el trabajo también sobrecargan la musculatura.
– El estrés emocional se manifiesta en muchas personas apretando los dientes y si se hace crónico causa bruxismo.
¿Tiene solución el apretamiento?
El tratamiento definitivo del bruxismo es complicado pues, como dijimos, intervienen muchos factores, pero podemos tratar los síntomas para prevenir las lesiones a medio y largo plazo.

Podemos actuar sobre los factores predisponentes (alteraciones de la masticación y oclusión, corrección de los desgastes y caries…) y los desencadenantes (ansiedad, estrés, posición durante el sueño, etc.), para minimizar sus consecuencias negativas.
Además de la terapia dental, se han propuesto la psicoterapia, mediante tratamientos conductuales; la fisioterapia, que alivia los dolores secundarios a las contracturas musculares; el deporte por sus efectos beneficiosos musculares y de descanso emocional y mejorar los hábitos saludables de la vida.
¿Qué puede hacerse en la clínica dental?
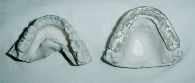
En la consulta dental, tras un diagnóstico correcto y la resolución de los factores modificables se suele recurrir a férulas rígidas. A veces podemos mejorar el ajuste oclusal, rehabilitar los dientes que faltan e incluso es beneficiosa en ciertos casos la ortodoncia.
Las férulas de descarga protegen del desgaste de unos dientes contra otros y, al aumentar unos dos milímetros la dimensión vertical, disminuyen la sobrecarga muscular, articular y lleva la mandíbula a posiciones de reposo.

Los fármacos ansiolíticos y miorrelajantes ayudan en ocasiones.
A veces hay gente que “compra” una férula por Internet que es como comprar un vestido de novia sin probarlo antes. Hay férulas protectoras para deportistas pero no cumplen los requisitos para estabilizar y disminuir apretamiento.
Por ello debemos acudir a un buen profesional odontólogo o estomatólogo que tenga conocimientos en esta materia.
Por cierto, aquella chica joven de la que hablamos al principio, con una férula correctamente realizada y ajustada, mejoró su calidad de vida y aprobó sus exámenes brillantemente.